Related Sites

Related Sites

medical news ireland medical news ireland medical news ireland

NOTE: By submitting this form and registering with us, you are providing us with permission to store your personal data and the record of your registration. In addition, registration with the Medical Independent includes granting consent for the delivery of that additional professional content and targeted ads, and the cookies required to deliver same. View our Privacy Policy and Cookie Notice for further details.



Don't have an account? Register

ADVERTISEMENT

ADVERTISEMENT

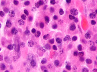
CPD Module- Multiple myeloma

By Mindo - 24th Sep 2020

1.5 CPD Hours

Authors

Ronan Desmond MD, MRCPI, FRCPath, Consultant Haematologist, Tallaght Hospital, Dublin 24 and Naas General Hospital, Co Kildare

This module will begin with a case study and discuss further when to suspect the presence of myeloma and investigations to consider. I will also discuss indications to treat and the current treatment paradigm for establishing when a patient needs treatment — which is often a challenge.

To earn CME credit, follow these steps:

  • Complete the 10 True or False questions in the Pre-Module Assessment. These questions are designed to assess your current knowledge.
  • Study the educational content.
  • Complete the 5 MCQs that follow the case study. After each question, you will be able to see whether you answered correctly and will then read evidence-based information that supports the most appropriate answer choice. These questions are part of the educational content and are designed to challenge you. You will not be penalised for answering the questions incorrectly.
  • Complete the 10 True or False questions in the Post-Module Assessment. These questions are designed to demonstrate that the module has improved your knowledge base on this topic.
  • On attaining a score of 70% of more on the Post-Module Assessment, the assigned CPD credits will be logged to your personal CPD activity log. You may view or print a verification certificate when required or print off an email stating the name of the module, the authors details and the CPD hours. You will not be able to alter the certificate or log. The credit that you receive is based on your user profile.
  • By providing information on how the module has enhanced your knowledge and/or practice, you may qualify for additional CPD credits during a CPD review.
  • DoctorCPD encourages you to complete the Activity Evaluation to provide feedback to guide us in the future development of this site.

Each DoctorCPD module is designed to be completed within the time designated on the Module Introduction page. This is an estimate of the maximum time required to complete the specific module and is determined by the format and content of the module. Users should claim only those credits that reflect the time actually spent on the activity.

To successfully earn credit, participants must complete the activity online, and receive a minimum score of 70% on the post-module assessment.

Leave a Reply

ADVERTISEMENT

Latest

ADVERTISEMENT

ADVERTISEMENT

ADVERTISEMENT

Latest Issue
Medical Independent 13th January 2026

You need to be logged in to access this content. Please login or sign up using the links below.

ADVERTISEMENT

Trending Articles

ADVERTISEMENT

ADVERTISEMENT

ADVERTISEMENT